
健康な歯を残すために。
刀根歯科医院の虫歯治療
「歯医者は痛いから、つい我慢してしまう…」
そんな経験、ありませんか?
刀根歯科医院では、痛みを最小限に抑えた麻酔技術と、できるだけ削らない精密な治療で、患者様の大切な歯を守ります。
「もっと早く来ればよかった」と思っていただけるように、安心して治療を受けられる環境を整えてお待ちしています。
こんなお悩み、
ありませんか?
- 歯が痛いけど、歯医者は怖くて行けない
- 治療の痛みが心配で、つい先延ばしにしてしまう
- 以前の治療で痛い思いをしたことがある
- 削る音が苦手で、歯医者に行くのが億劫
- 何度も虫歯を繰り返している
- できるだけ自分の歯を残したい
そんな方こそ、刀根歯科医院にお任せください。
刀根歯科医院の虫歯治療 6つの特徴
痛みを最小限に抑えた、やさしい治療
当院では、細い針でゆっくりと麻酔液を注入できる注射器を使用し、麻酔時の痛みを和らげています。
表面麻酔を併用することで、注射針を刺すときのチクッとした痛みもほとんど感じません。
「麻酔をしたことに気づかなかった」と言われることもあるほど、やさしい麻酔を心がけています。
できるだけ削らない、歯を守る治療
一度削った歯は、二度と元には戻りません。
だからこそ、当院ではMI治療(Minimal Intervention = 最小限の侵襲) の考え方を大切にしています。MI(ミニマルインターベンション)を重視した治療では、単に痛みのある歯を治療するだけではありません。できるだけ健康な天然歯を残すことを大切にし、治療後もお口の健康を長く保つために、予防や継続的な管理まで含めておこなっていきます。拡大鏡・マイクロルーペの活用
肉眼では見えない細部まで確認し、削る量を最小限に。
う蝕検知液の使用
虫歯に感染した部分だけを染め出し、健康な歯を残します。

光学印象(口腔内スキャナー)
小型カメラを使用して口腔内をスキャンし、歯型を3Dデータとしてデジタルで取得する技術です。
従来の型取りに比べて嘔吐反射や不快感が少なく、より高精度かつスピーディーに治療を進めることができます。
虫歯の進行を正確に把握
ダイアグノデント ペンを歯に当てることで、むし歯の進行度を0~99の数値で測定できる機器です。
歯を削ることなく状態を確認できるため、むし歯の早期発見や経過観察を高い精度でおこなうことができます。
CTによる正確な診断
従来の2次元レントゲンでは確認が難しかった歯や顎の骨の内部構造を、3次元(3D)画像で詳しく把握できる検査です。この技術により、虫歯の有無、病変の大きさ、神経や血管の位置、歯根の形態などを立体的に、より正確に調べることができます。

電動根管治療器(トライオート)を利用した
精密な根管治療根管治療(歯の根の治療・神経の治療)や、過去に治療した歯の再感染に対しておこなう再根管治療において、患者さまの負担を軽減しながら、歯を長く残せる可能性を高める効果が期待されています。

虫歯治療の流れ
Step 1:カウンセリング・検査
まずは問診表をもとに、症状や治療へのご希望をお伺いします。
必要に応じてレントゲン撮影をおこない、虫歯の状態を正確に把握します。Step 2:治療計画のご提案
検査結果をもとに、治療方法や期間、費用についてわかりやすくご説明します。
ご納得いただいてから治療を開始しますので、ご安心ください。Step 3:虫歯の除去と詰め物・被せ物
必要に応じて麻酔をしてから、虫歯に感染した部分を丁寧に取り除きます。
削った部分には、詰め物や被せ物を装着します。
保険診療の銀歯や自費診療のセラミックなど、見た目や機能性に合わせてお選びいただけます。Step 4:メンテナンス・予防
治療後は、定期的なメンテナンスで虫歯の再発を防ぎます。
予防こそが、歯を守る一番の方法です。
当院では、患者様一人ひとりに合わせた予防プランをご提案しています。
よくある質問
- 虫歯治療は痛いですか?
初期の虫歯であれば虫歯を削る痛みはほとんどありません。中~重度の虫歯治療の場合は痛みを最小限に抑えた麻酔を行っていますので、ほとんど痛みを感じることなく治療できます。痛みに敏感な方は、遠慮なくお伝えください。
- 何回くらい通えば治りますか?
虫歯の進行度によりますが、軽度であれば1~2回、神経まで達している場合は6~7回程度が目安です。初診時に治療計画をご説明します。
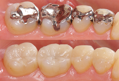
- 銀歯と白い歯(セラミック)との違いは?

銀歯は保険適用で費用を抑えられますが、見た目が目立ち、劣化しやすいデメリットがあります。セラミック(下側)は自費診療ですが、見た目が自然で、長持ちしやすい特徴があります。ご予算やご希望に合わせてお選びいただけます。
- 虫歯を放置するとどうなりますか?
虫歯は自然に治ることはありません。放置すると神経まで達し、激しい痛みや歯を失うリスクが高まります。早めの受診が、歯を守る第一歩です。
- 痛みがなくても虫歯はありますか?
はい。初期の虫歯は痛みを感じないことが多いです。だからこそ、定期検診で早期発見することが大切です。
受付時間:9:30~12:45 / 14:30~18:15